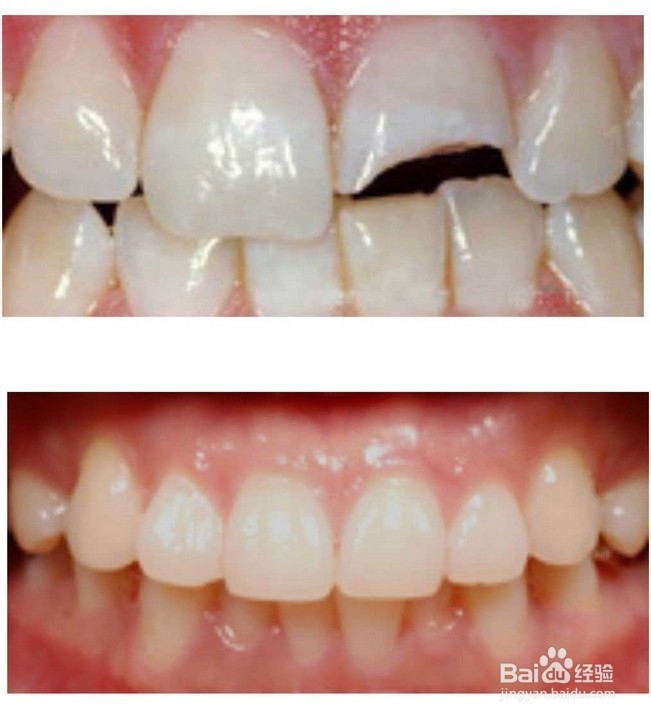
门牙矫正选用较多的是牙套矫正。牙套矫正也分很多种,方法不同,费用也就不同了,现阶段,最贵的牙齿矫正方法是隐形无托槽牙齿矫正方法,由于儿童,牙齿比较容易矫正,所以,一般没必要选择价格如此昂贵的。 ...
254人阅读
8人评论
2016-04-12 14:25
瘦脸针瘦脸实质上就是采用肉毒杆菌毒素注射治疗咬肌肥大。女性以椭圆形面型为美,常因下颌角处肥大而要求整形。其中90%以上的病人伴有良性咬肌肥大,希望能同时削减 ...
200人阅读
8人评论
2016-04-12 14:25
223人阅读
8人评论
2016-04-12 14:26
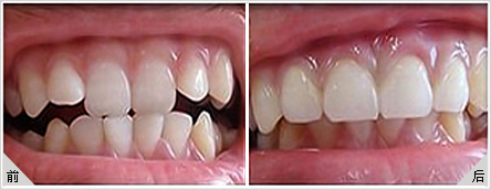
3D美容冠为近年由欧美引入的新兴美齿技术,针对成人,对龅牙、排列歪斜牙、畸形牙以及色素牙,可彻底、快速矫正修复,无需拔牙,全程无痛。 ...
229人阅读
8人评论
2016-04-12 14:28
335人阅读
8人评论
2016-04-12 14:28
236人阅读
8人评论
2016-04-12 14:29